Skip to content Skip to sidebar Skip to footer

Widget HTML #1

How Long Can You Carry A Blighted Ovum : The placenta and sac still give off pregnancy hormones.

How Long Can You Carry A Blighted Ovum : The placenta and sac still give off pregnancy hormones.. Experiencing a miscarriage for any reason is painful. Blighted ovum is a type of early pregnancy loss. While you can technically get pregnant again as soon as your periods return, we recommend that you wait for about three months to fully heal after a miscarriage. Feb 23, 2019 · many women with a blighted ovum have gone on to have multiple viable pregnancies. A blighted ovum causes about one out of two miscarriages in the first trimester of pregnancy.

Nov 10, 2020 · how long can you carry a blighted ovum? What to do with a blighted ovum pregnancy? A blighted ovum will cause a miscarriage usually at 7 to 12 weeks of pregnancy. You have a placenta and a gestational sac, but the embryo doesn't grow. How long can a blighted ovum pregnancy last?

5 Lessons From Our Misdiagnosed Miscarriage Authentic Virtue
5 Lessons From Our Misdiagnosed Miscarriage Authentic Virtue from i1.wp.com
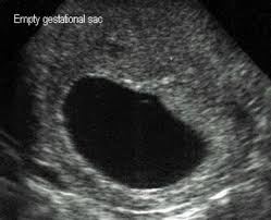
Feb 23, 2019 · many women with a blighted ovum have gone on to have multiple viable pregnancies. While you don't want to carry too long due to risk of infection, research suggests waiting until 9 weeks of pregnancy to intervene on a blighted ovum. A blighted ovum usually occurs between the 8th and 13th weeks of pregnancy. You have a placenta and a gestational sac, but the embryo doesn't grow. Your body understands the pregnancy is not developing properly and starts to shed blood and tissue from the uterus. What to do with a blighted ovum pregnancy? It's also called anembryonic pregnancy or empty sac. Can a blighted ovum be a positive pregnancy test?

Many women need support and time to grieve.

Jun 08, 2021 · a blighted ovum, like other types of miscarriage, ends anytime before the first 20 weeks of pregnancy (3). Feb 23, 2019 · many women with a blighted ovum have gone on to have multiple viable pregnancies. Can a blighted ovum be a positive pregnancy test? A blighted ovum usually occurs between the 8th and 13th weeks of pregnancy. A miscarriage is when a pregnancy ends on its own within the first 20 weeks. Can a blighted ovum cause an early miscarriage? A miscarriage can be extremely upsetting. Many women need support and time to grieve. About 15 percent of all pregnancies end in miscarriage before 13 weeks of pregnancy. What to do with a blighted ovum pregnancy? Keep in mind that like all types of miscarriages, blighted ovum miscarriages occur very early in pregnancy, so not all cases are diagnosed. How long can a blighted ovum pregnancy last? A blighted ovum causes about one out of two miscarriages in the first trimester of pregnancy.

About 15 percent of all pregnancies end in miscarriage before 13 weeks of pregnancy. What are the treatment options? A miscarriage is when a pregnancy ends on its own within the first 20 weeks. Blighted ovum is a type of early pregnancy loss. A blighted ovum causes about one out of two miscarriages in the first trimester of pregnancy.

Blighted Ovum Its Peculiarity Causes Symptoms And Prevention
Blighted Ovum Its Peculiarity Causes Symptoms And Prevention from image.slidesharecdn.com
Can a blighted ovum cause an early miscarriage? Nov 10, 2020 · how long can you carry a blighted ovum? Many women need support and time to grieve. It's also called anembryonic pregnancy or empty sac. What to do with a blighted ovum pregnancy? The placenta and sac still give off pregnancy hormones. Dec 13, 2017 · the sonogram will show the placenta and empty embryonic sac. While you can technically get pregnant again as soon as your periods return, we recommend that you wait for about three months to fully heal after a miscarriage.

Can a blighted ovum cause an early miscarriage?

Dec 13, 2017 · the sonogram will show the placenta and empty embryonic sac. While a blighted ovum leads to loss of pregnancy, most women tend to have healthy pregnancies and babies subsequently. What are the treatment options? Nov 10, 2020 · how long can you carry a blighted ovum? While you can technically get pregnant again as soon as your periods return, we recommend that you wait for about three months to fully heal after a miscarriage. A miscarriage is when a pregnancy ends on its own within the first 20 weeks. How long can a blighted ovum pregnancy last? These cause a pregnancy test to show positive, and can give you symptoms of pregnancy. You have a placenta and a gestational sac, but the embryo doesn't grow. Your body understands the pregnancy is not developing properly and starts to shed blood and tissue from the uterus. It's also called anembryonic pregnancy or empty sac. Blighted ovum is a type of early pregnancy loss. Experiencing a miscarriage for any reason is painful.

Your body realises the pregnancy is not developing properly and starts to shed blood and tissue from the uterus. A blighted ovum causes about one out of two miscarriages in the first trimester of pregnancy. Jun 08, 2021 · a blighted ovum, like other types of miscarriage, ends anytime before the first 20 weeks of pregnancy (3). Can a blighted ovum be a positive pregnancy test? While you don't want to carry too long due to risk of infection, research suggests waiting until 9 weeks of pregnancy to intervene on a blighted ovum.

Not A Blighted Ovum Like I Was Told Babycenter
Not A Blighted Ovum Like I Was Told Babycenter from imageserve.babycenter.com
A miscarriage can be extremely upsetting. A blighted ovum will cause a miscarriage usually at 7 to 12 weeks of pregnancy. A miscarriage is when a pregnancy ends on its own within the first 20 weeks. Blighted ovum is a type of early pregnancy loss. These cause a pregnancy test to show positive, and can give you symptoms of pregnancy. Feb 23, 2019 · many women with a blighted ovum have gone on to have multiple viable pregnancies. You have a placenta and a gestational sac, but the embryo doesn't grow. Can a blighted ovum cause an early miscarriage?

May 19, 2020 · experts estimate that blighted ovum accounts for about 50 percent of all miscarriages in the first trimester.

A miscarriage can be extremely upsetting. While a blighted ovum leads to loss of pregnancy, most women tend to have healthy pregnancies and babies subsequently. May 19, 2020 · experts estimate that blighted ovum accounts for about 50 percent of all miscarriages in the first trimester. While you can technically get pregnant again as soon as your periods return, we recommend that you wait for about three months to fully heal after a miscarriage. A blighted ovum usually occurs between the 8th and 13th weeks of pregnancy. Feb 23, 2019 · many women with a blighted ovum have gone on to have multiple viable pregnancies. It's also called anembryonic pregnancy or empty sac. A blighted ovum causes about one out of two miscarriages in the first trimester of pregnancy. About 15 percent of all pregnancies end in miscarriage before 13 weeks of pregnancy. Jun 08, 2021 · a blighted ovum, like other types of miscarriage, ends anytime before the first 20 weeks of pregnancy (3). Keep in mind that like all types of miscarriages, blighted ovum miscarriages occur very early in pregnancy, so not all cases are diagnosed. Nov 10, 2020 · how long can you carry a blighted ovum? Blighted ovum is a type of early pregnancy loss.